Sutrikimai, sukeliami simptomai ir osteopatijos gydymas.
Rotatorių manžetė – tai mentės kaulo ir peties sąnario galvutės, esančios sąnario gūžduobėje stabilizuojanti keturių raumenų ir sausgyslių biomechaninė struktūra. Šios struktūros savybės yra stabilizuoti žąstikaulį peties sąnaryje, sustabdant jo slydimą iš gūžduobės, kontroliuoti rankos sukamuosius ir kėlimo judesius, užtikrinti judesių koordinaciją tarp peties ir mentės. Raumenys supantys raotatorių manžetę:
- Viršdyglinis raumuo
- Podyglinis raumuo
- Pomentinis raumuo
- Mažasis apvalusis raumuo
1. Pav. Rotatorių manžetę sudarantys raumenys
Reikia pabrėžti jog šių raumenų ir jų sausgyslių junginys esantis peties sąnario kapsulėje yra vienas iš labiausiai vaskuliarizuotų (turintis platų kraujotakos tinklą). Traumos atveju greta audinių pažeidimo vyksta ir anksčiau minėto kraujotakos tinklo pažeidimas, tai apsunkina rotatorių manžetės gijimo procesus. Svarbiasias šių keturių raumenų junginio raumuo yra viršdyglinis raumuo tai pagrindinis pagalbininkas, deltiniams raumenims, stabilizuojant žastikaulį mentės gužduobėje ,rankos atikėlimo į šoną metu.
Sutrikimo priežastys:
Trauminiai pažeidimai – griuvimo ant ištiestos rankos metu pvz. (slidinėjimo metu) patirtas vieno ar kelių išvardintų raumenų/sausgyslių patempimas, plyšimas.
Lėtiniai degeneraciniai pakitimai – monotoniški pasikartojantys judesiai pvz. darbiniai judesiai, iškėlus aukštai rankas, tam tikrų sporto šakų judesiai. Su amžiumi atsirandantis degeneraciniai raumenų sausgyslių pakitimai sukeliantis lėtinius uždegimus.
Netaisyklinga laikysena – padidėjęs kūprinimasis, suapvalėjusi pečių padėtis, bloga kaklo padėtis, skatinanti galvos poslinkį į priekį, keičia peties sąnario biomechaniką taip sukeliant sausgyslių dirginimą.
Pataloginiai peties sąnario kalcinatai, kaulinės ataugos – šie dariniai gali iš lėto mechaniškai dirginti ir žaloti aplinkinių raumenų sausgysles sukeliant uždegimą ir degeneraciją.
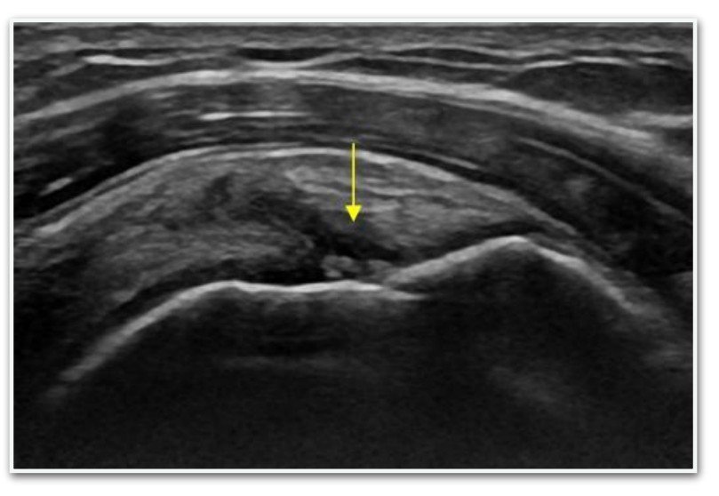
2. Pav. Rotatorių manžetės dalinis plyšimas (echoskopinio tyrimo vaizdas)
Simptomai:
- Skausmas juntamas paties šone arba viršuje, labiausiai juntamas keliant ranką arba naktį
gulint ant pažeisto peties. - Sumažėjusi judesių amplitudė, juntamas raumenų jėgos silpnumas atliekant rankos kėlimo
ar sukamuosius judesius. - Girdimas traškesys peties sąnaryje judesių metu.
Osteopatijos gydymas
Osteopatijos gydymo metu specialistas siekia sumažinti skausmą ir uždegimą, mažinti raumenų įtampą ir pagerinti judesio amplitudę. Vizito metu atliekamos specifinės manualinės technikos gerinančios peties, mentės, kaklinės ir krūtininės stuburo dalies judrumą.
Parenkami tikslingi gydomieji pratimai siekiant gydyti ir atkurti raumenų veikos asimetriškumą, koreguojama paciento laikysena ir peties sąnario judesio modelis norint sumažinti recidyvo tikimybę. Taikomos papildomos fizioterapijos gydymo priemonės uždegimo mažinimui, bursos maišelio pažeidimo spartesniam atsistatymui.
Kaip minima straipsnyje, rotatorių manžetės sutrikimo ir jo sukelto uždegimo skausmą gali lemti daug faktorių, todėl labai svarbu tiksliai nustatyti skausmo priežastį, pažeidimo tipą norint užtikrinti efektyvų gydymą.
Osteomedikos klinikos osteopatai gydydami peties sąnario skausmą remiasi mokslo praktika ir žiniomis patikrinta gydymo metodika, pasitelkdami vaizdines diagnostikos priemones (magnetinis rezonansas, echoskopinis tyrimas, rentgenograma) esant reikalingumui bendradarbiauja su kolegomis chirurgais ortopedais-traumatologais dėl gydymo efektyvumo užtikrinimo.
Priemonės, kurias mūsų pacientai gali įsigyti Osteomedika klinikose padedančios greičiau atsikratyti tarpumenčio stuburo dalies skausmo.


